Menu
Your Cart

獸醫專區

獸醫專區

25 11月 MMP 簡介
0 2449
改良 Maquet 手術(Modified Maquet Procedure, MMP)Maquet 手術(Maquet Procedure, MP)由骨科外科醫師 P. Maquet 博士於 1960 年代所發展,原先用於治療人類的髕股關節疼痛及膝關節骨關節炎(OA)。脛骨粗隆前移術(Tibial Tuberosity Advancement, TTA)則是 MP 的演進版本,由 Montavon、Tepic 等人在 2002 年提出。改良 Maquet 手術(MMP)為 Orthomed 對..
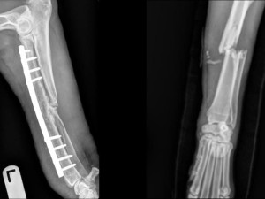
15 11月 病例分享 :以 ARCIS® 固定系統處置之高難度骨折修復
0 2358
病例分享:以 ARCIS® 固定系統處置之高難度骨折修復骨折型態 橈尺骨骨幹中段/開放性(Grade II)/粉碎性骨折🐕 病患資料 4 歲已絕育公德國狼犬,40 kg(肥胖)。車禍後出現左前肢嚴重橈尺骨骨折。此案同時存在就診延遲、開放性傷口(Grade II)、高度粉碎,以及肥胖造成的行動限制等多重挑戰。👉 臨床挑戰 因肺挫傷與飼主決策,手術延後 4 天 既往過敏性皮膚病史並合併多處擦傷 肥胖導致三足承重困難、增加患肢即刻負重需求 多重因素疊加之感染風險上升 🏥 手術方式 主刀..
30 10月 犬隻氣管塌陷與氣管內支架置放:急診處置與臨床指引
0 2615
犬隻氣管塌陷與氣管內支架置放:急診處置與臨床指引一、背景與病理病理:最新研究顯示氣管軟骨臨床其實存在兩個不同機制1.   傳統型(dynamic):C 形軟骨軟化塌陷+背側氣管肌鬆弛,動態扁平。2.   氣管畸形型(malfunction):W 形硬軟骨造成固定狹窄,不是單純氣管肌肉的鬆弛。 好發品種/族群:玩具與小型犬(Chihuahua、Pomeranian、Poodle、Pug、Lhasa Apso、Shih Tzu、Yorkshire Terrier 等);多見於中老年,但年幼犬亦可發生..
顯示 1 - 3 / 3 (共 1 頁)